Cos’è, sintomi e soluzioni visive avanzate
Retinite Pigmentosa
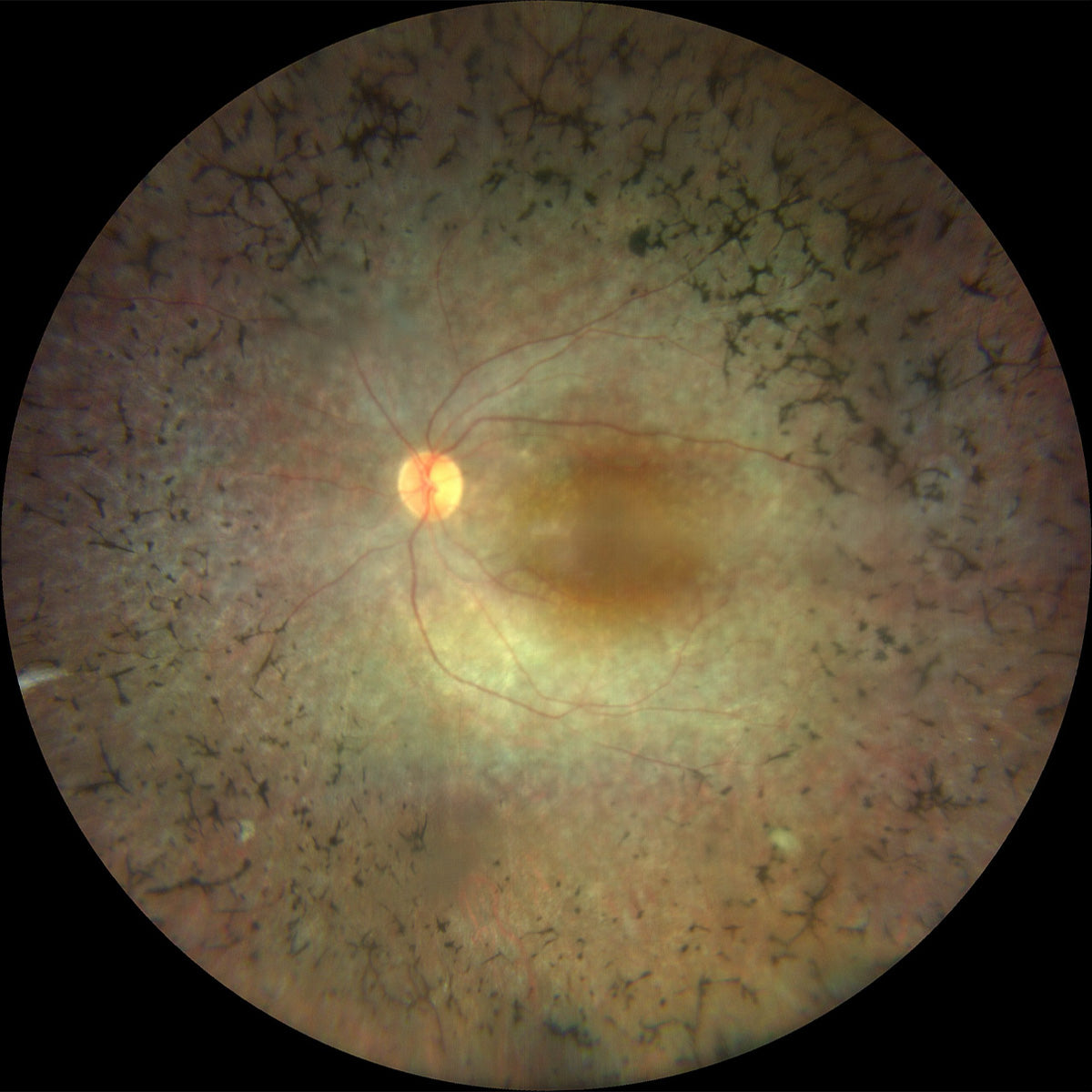
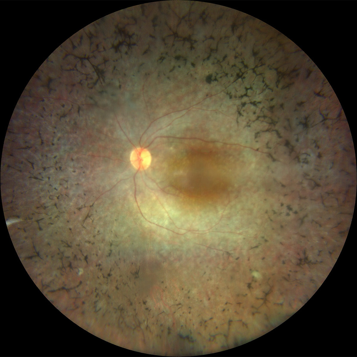
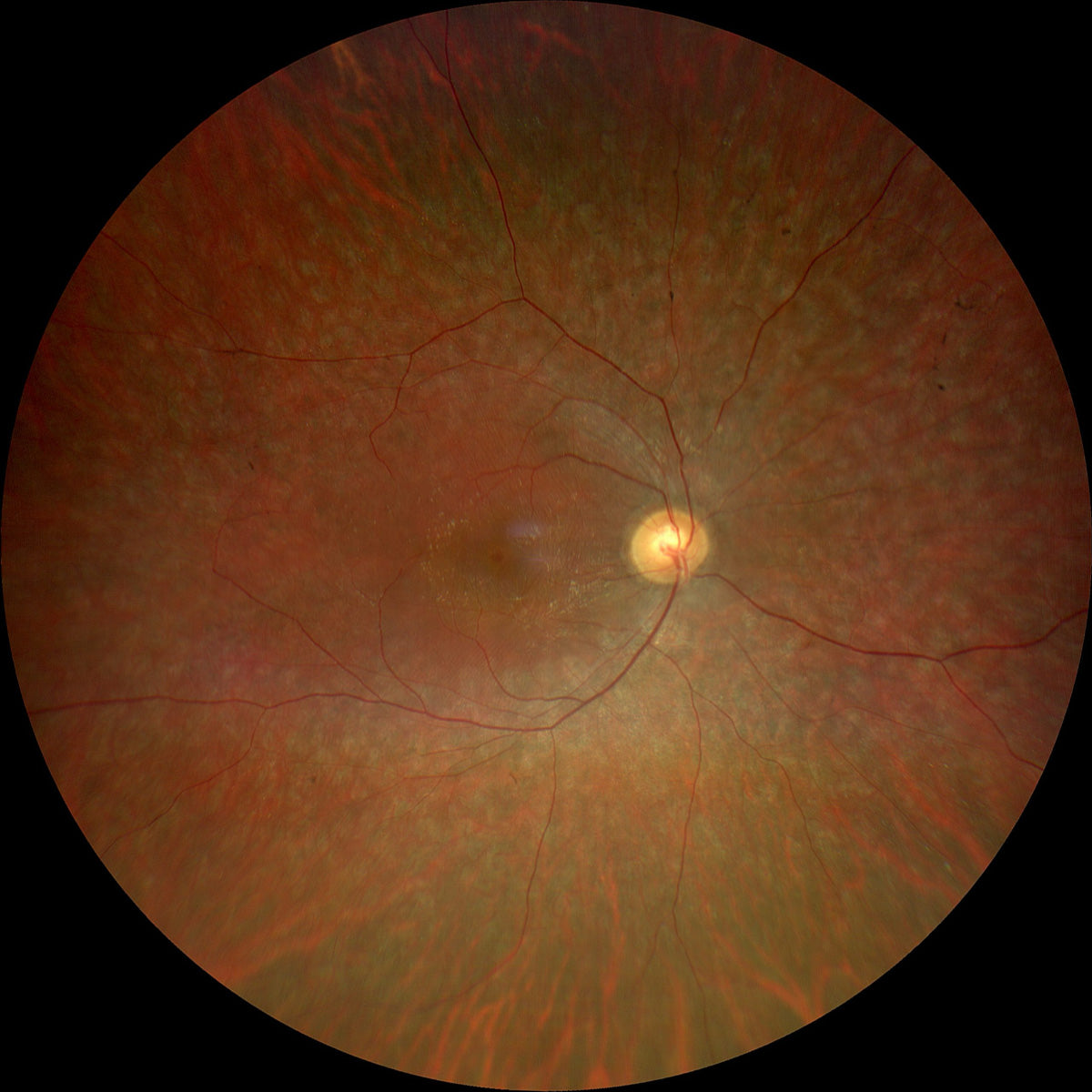
La Retinite Pigmentosa (spesso chiamata anche Retinite Pigmentosa) è una malattia oculare degenerativa che coinvolge la retina e, in particolare, i fotorecettori responsabili della visione notturna e periferica. Si tratta di una patologia genetica e progressiva, che nel tempo può determinare un restringimento del campo visivo, alterazioni della percezione luminosa e una significativa difficoltà nella visione in condizioni di scarsa illuminazione.
La malattia colpisce prima i bastoncelli (responsabili della visione periferica e crepuscolare) e, in fasi successive, può coinvolgere anche i coni, compromettendo anche la visione centrale e dei colori.
Sebbene attualmente non esista una cura definitiva, l’approccio più efficace consiste nel migliorare la percezione luminosa, aumentare il contrasto e proteggere la retina con strumenti ottici avanzati come i filtri medicali.

Retinite Pigmentosa
Come si manifesta la Retinite Pigmentosa
I sintomi e le manifestazioni più comuni includono:
• difficoltà a vedere al buio o in ambienti poco illuminati (nictalopia);
• visione tubolare, dovuta al restringimento progressivo del campo visivo;
• maggiore sensibilità alla luce intensa o abbagliamento;
• percezione alterata dei colori;
• difficoltà a percepire ostacoli laterali;
• in stadi avanzati, riduzione della visione centrale.
Spesso la retinite pigmentosa si manifesta nell’adolescenza o nella giovane età adulta, per poi evolvere lentamente nel corso degli anni.

Retinite Pigmentosa
Perché avviene: cause e progressione
La Retinopatia Pigmentosa ha origine genetica:
• può essere ereditaria secondo diverse modalità (autosomica dominante, recessiva o legata al cromosoma X);
• può essere associata a sindromi sistemiche come la Sindrome di Usher;
• comporta un progressivo deterioramento dei fotorecettori.
La sua progressione può essere lenta o più rapida a seconda del tipo genetico, e richiede un monitoraggio costante.

Supporti visivi
Filtri medicali per la Retinopatia Pigmentosa
Nei centri Più Ottica realizziamo occhiali con filtri medicali specifici, progettati per migliorare la qualità visiva nelle persone affette da Retinite Pigmentosa. Questi strumenti non curano la patologia, ma contribuiscono in modo significativo a:
✔ Migliorare la percezione del contrasto
I filtri selezionano le lunghezze d’onda più utili alla retina, rendendo più chiari i dettagli.
✔ Ridurre l’abbagliamento e la fotofobia
La sensibilità alla luce intensa è uno dei sintomi più frequenti: i nostri filtri medicali riducono il disagio e stabilizzano la visione.
✔ Aumentare la visibilità in condizioni di luce variabile
Particolarmente utile per chi ha difficoltà a passare da ambienti interni a esterni o viceversa.
✔ Ottimizzare la visione periferica residua
I filtri specifici aumentano la definizione dei bordi e migliorano la percezione laterale.
✔ Proteggere la retina da luci ad alta energia
Evitare ulteriori stress luminosi è fondamentale per preservare il tessuto retinico.
I nostri occhiali medicali sono realizzati con filtri fotoselettivi calibrati, disponibili in diverse tonalità e personalizzabili in base allo stato della patologia e alle necessità visive individuali.

Retinite Pigmentosa
Perché i filtri medicali sono fondamentali nella Retinite Pigmentosa
Le ricerche più recenti hanno dimostrato che i filtri fotoselettivi:
• migliorano il comfort visivo quotidiano;
• aiutano nella lettura dei contorni e nella percezione degli spazi;
• favoriscono una maggiore autonomia nei movimenti;
• stabilizzano la risposta visiva in presenza di luce intensa;
• riducono il rischio di disorientamento nelle transizioni luce/ombra.
Si tratta quindi di uno strumento centrale nella gestione quotidiana della malattia, soprattutto nelle fasi intermedie.

L’approccio Più Ottica
Analisi, personalizzazione e tecnologia
Grazie alle tecnologie Ottica 2.0 presenti nei nostri store (VisionX, VX40, Zeiss Visufit 1000) possiamo:
• analizzare la sensibilità luminosa individuale;
• valutare il residuo di campo visivo;
• identificare la tonalità di filtro più efficace;
• creare occhiali medicali su misura per la persona.
Ogni soluzione viene testata e ottimizzata dal nostro team, garantendo un risultato funzionale e confortevole.

Prenditi cura dei tuoi occhi
Affidati ai professionisti di Più Ottica
La retinite pigmentosa richiede attenzione, protezione e strumenti visivi specializzati. Con i nostri occhiali medicali, realizzati e prototipati presso i nostri laboratori, puoi migliorare la percezione della luce, dei contrasti e dei dettagli, ritrovando maggiore sicurezza nella vita quotidiana.
Prenota ora una consulenza con i professionisti di Più Ottica per valutare la tua condizione visiva e scoprire i filtri medicali più indicati per la Retinopatia Pigmentosa.
DOMANDE FREQUENTI
CURIOSITà
La Retinite Pigmentosa è una patologia oculare genetica e progressiva che colpisce la retina, in particolare i fotorecettori responsabili della visione notturna e periferica. I primi sintomi includonodifficoltà a vedere al buio e un progressivo restringimento del campo visivo, noto come visione tubolare. Con l’avanzare della malattia possono comparire anche alterazioni della percezione dei colori e riduzione della visione centrale.
I sintomi più frequenti della Retinite Pigmentosa comprendono nictalopia (scarsa visione notturna), difficoltà ad adattarsi ai cambi di illuminazione, sensibilità alla luce intensa, riduzione del campo visivo periferico e, nelle fasi avanzate, peggioramento della visione centrale. Questi disturbi possono incidere sull’autonomia quotidiana e sulla sicurezza negli spostamenti, rendendo fondamentale un supporto visivo mirato.
Sì. Negli storePiù Ottica realizziamo occhiali medicali personalizzati con filtri fotoselettivi specifici per la Retinopatia Pigmentosa. Questi filtri aiutano a migliorare il contrasto, ridurre l’abbagliamento, stabilizzare la percezione luminosa e proteggere la retina dalla luce ad alta energia. Pur non curando la patologia, rappresentano un supporto fondamentale per migliorare il comfort visivo e l’autonomia nelle attività quotidiane.
MAESTRO OTTICO
ENNIO SCAUZILLO
Ennio è un Maestro ottico, titolo conseguito nel 2018 a Firenze, con oltre cinquant’anni di esperienza nel mondo dell’ottica. Ha conseguito la qualifica di ottico presso la prestigiosa scuola di ottica di Vinci (Fi). Rinomato per la sua professionalità, gentilezza e sensibilità, Ennio è spesso considerato per consulenze personalizzate e soluzioni ottiche delicate.

Ovviamente, ti consigliamo di consultare il tuo medico oculistico per trattare al meglio casi di infiammazione acuta.


